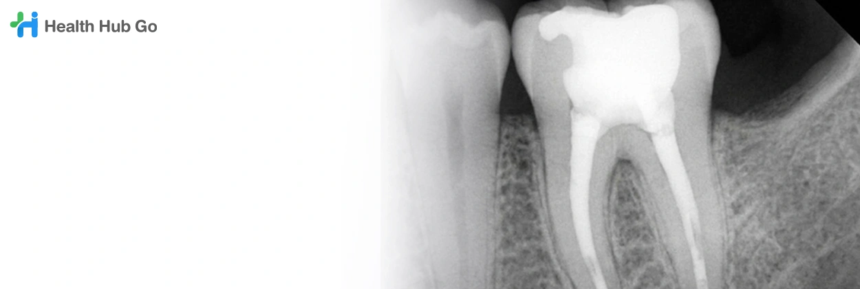
เอกซเรย์ฟันเฉพาะซี่

เอกซเรย์ฟันเฉพาะซี่

Periapical Dental X-ray